發布于:2019/9/19 9:41:18 點擊量:116
1 調節閥桿斷裂的原始情況
某電廠的3根調節閥發生斷裂,斷裂位置如圖1所示,按順序編號為1#、2#和3#,調節閥桿的材質為1Cr11MoV。將斷裂的閥桿從螺帽中取出,做斷口分析和材質檢驗分析。
2 斷口分析
2.1 宏觀斷口分析
調節閥斷裂的宏觀形貌如圖1(a)、圖1(b)和圖1(c)

圖1 調節閥斷口宏觀形貌
所示,1#調節閥桿只有一個斷面,斷口呈淺紅色,邊緣局部呈深灰色,有清晰的貝紋線。2#、3#調節閥桿有3~5個斷面,自定位銷及螺紋處開裂,形成多個斷面,2#斷口呈淺紅色,邊緣有小區域呈黑色,3#斷口全部呈黑色,局部可見海灘裝花樣。3根調節閥斷面都與調節閥桿垂直,沒有明顯的塑性變形的痕跡,斷面已被嚴重氧化和磨損。
2.2 微觀斷口分析
因為2#、3#調節閥斷口磨損嚴重,把1#調節閥斷口放入電鏡觀察,微觀形貌如圖2所示,斷口源區磨損較為嚴重,擴展區有明顯的貝紋線,收斂于斷口邊緣的螺紋處,見圖2(a),斷口擴展區大部分是解理斷裂,見圖2(b),斷口上未見疲勞輝紋。

圖2 調節閥斷口的掃描電鏡照片
3 材質分析
3.1 化學成分分析
在1#、2#和3#調節閥上取樣,測試了調節閥的化學成分,分析結果如表1所示。由表1可知,3根調節閥的化學成分都符合標準B/HJ479-2006的規定。
表1調節閥的化學成分(質量百分比)測試結果 /%

3.2 硬度分析
1#、2#和3#調節閥的硬度值分別為HB222、HB224和HB233,調節閥桿設計要求的屈服強度等級為490MPa,相對應的硬度值規定為HB217~248,3根調節閥的硬度值都符合標準B/HJ479-2006的規定。
3.3 金相分析
在1#、2#和3#調節閥桿的螺紋處的縱剖面制備金相樣品,做低倍檢查,夾雜物檢查結果為A1、B2、D1.5e。

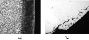
圖3 調節閥金相組織照片
分別在調節閥桿端面上制備金相樣品,金相組織如圖3(a)、(b)所示。在金相樣品的邊緣觀察到氮化層,氮化層深為0。25~0。38mm,在氮化層邊緣及內部有許多微小的顯微裂紋,對調節閥桿的螺紋處進行腐蝕,發現螺紋處局部有氮化的痕跡,且被氮化的螺紋處大都有螺紋剝落發生,調節閥桿金相樣品的晶粒度都為4級,金相組織為回火索氏體。
4 綜合分析
按照調節閥桿的設計要求,閥桿上的定位銷孔的位置應位于自閥桿端部螺紋長度的約四分之一處,1#調節閥桿上定位銷孔的位置符合設計要求,在定位銷孔處未出現開裂,2#和3#調節閥桿的定位銷孔的位置都靠近閥桿螺紋上部的端面,都不符合設計要求,在2#和3#調節閥桿的定位銷孔都出現開裂,導致閥桿多處發生斷裂。閥桿的斷口分析表明閥桿的斷裂性質是疲勞斷裂,裂紋自螺紋表明萌生,向內部擴展。設計上要求閥桿氮化時對螺紋以上區域應做好防護,防止氮化,閥桿的材質檢驗結果表明,閥桿端部的大面積及螺紋的局部有氮化層,表明閥桿在氮化過程中未能對螺紋進行有效的防護,致使閥桿端部及螺紋局部被氮化,在氮化組織中形成顯微裂紋,增加了螺紋的脆性,導致螺紋在運行中出現局部剝落現象,形成偏載,進一步加劇了螺紋處的應力集中,最終導致閥桿疲勞斷裂。
5 結語
1#、2#和3#調節閥桿的斷裂性質是疲勞斷裂,材質都符合B/HJ479-2006的規定。閥桿在做氮化處理時未對螺紋進行有效防護,致使閥桿端部及螺紋局部被氮化,這是閥桿發生疲勞斷裂的主要原因。
建議今后調節閥桿氮化時嚴格按照設計要求做好防護,防止螺紋被氮化。
本文鏈接:http://www.anjitower.com/news/detail/20190919094118.html
版權所有 © 自力式壓力調節閥-氣動調節閥-電動調節閥-氮封閥廠家 浙ICP備18052799號-2